Aliás, freio labial é uma pele dentro da boca que une o lábio à gengiva.
Por que dizemos isto? Vamos explicar. Assim que os dentes nascem, sejam dentes de leite ou permanentes, normalmente, eles nascem afastados.
Vão crescendo e se aproximando com o passar do tempo e os espaços entre os dentes vão desaparecendo. Tudo isto naturalmente, sem precisar de tratamento nenhum, nem ortodôntico, nem cirúrgico. Só a natureza atuando.
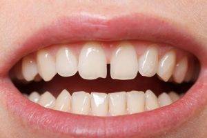
Isto acontece, em condições normais, em mais de 90 % dos casos, pois a natureza se encarrega de fechar os espaços remanescentes, quando se estabelece a dentição permanente.
Portanto, menos de 10 % de espaços remanescentes, salientando que me refiro àqueles que ainda permanecem, quando todos os dentes permanentes já nasceram, tem causas variadíssimas e não apenas o “coitado” do freio labial que, com frequência, é considerado causador e removido, cirurgicamente.
A documentação ortodôntica e um diagnóstico, somado ao bom senso, vão determinar esta causa e o melhor tratamento. Portanto não se precipite, mas, se houver dúvida, busque ajuda para tomar a melhor decisão.
Se houver dúvida, sinta-se a vontade para entrar em contato conosco.
