Quando existe o hábito de chupar dedo ou chupeta, dependendo da duração, frequência e intensidade com que é praticado, uma coisa é certa, vai haver repercussão na dimensão óssea dos maxilares, gerando com um tempo um dos tipos de problemas ortodônticos. Alterando, assim, o seu desenvolvimento normal, causando a deformidade abaixo, chamada de Mordida Aberta.
A criança com mordida aberta não consegue o corte dos alimentos com os dentes anteriores. A mordida aberta impede o contato, alterando a função dos dentes e o estímulo normal.
Se estes hábitos de sucção ainda estiverem acompanhados por dificuldades respiratórias, como rinites, adenoide e amidalas hipertrofiadas, teremos mais agravantes, predispondo ao hábito de respirar pela boca, quer esteja a criança dormindo ou acordada. Isto acrescenta um padrão de relaxamento, à função da musculatura peri-oral e à língua, com consequente atuação sobre o formato das arcadas.
O que é a Mordida Cruzada Posterior?
A articulação dentária deve favorecer a função equilibrada, para o correto estímulo de crescimento dos maxilares. A exemplo de uma caixa de sapatos, todos os dentes superiores, articulam por fora dos seus antagonistas, os inferiores. A mordida cruzada inverte esta relação, predispondo a atrofia do maxilar. Ela pode se apresentar de forma uni ou bilateral, mas também pode ser anterior, comprometendo os dentes anteriores.
Com a mordida cruzada, os dentes sucessores permanentes não encontram espaço suficiente para o bom alinhamento na arcada. Um lado tem mais eficiência mastigatória do que o outro, condicionando à mastigação viciosa unilateral, alterando todo padrão muscular peri-oral e com consequente desvio da mandíbula. Isto resulta em futura assimetria facial.
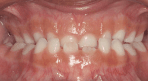
E a Mordida Cruzada anterior?
Neste caso, os dentes superiores anteriores ficam por dentro dos inferiores. Desta forma o maxilar, têm seu crescimento restrito, as vezes durante anos. Quanto mais tempo mantiver esta posição, mais vai alterar a função, deformado o crescimento ósseo.
A fala, o posicionamento da língua e o perfil facial serão, da mesma forma, prejudicados. Acentua-se na face, o queixo, perdendo a harmonia entre os maxilares superiores e inferiores. Quando não tratados adequadamente na infância, são situações que podem se transformar em questões só resolvidas cirurgicamente, na vida adulta.
O sucesso no tratamento ortodôntico infantil, por apresentar alterações multifatoriais relacionadas entre si, depende da atuação conjunta, além do ortodontista, da otorrinolaringologia, alergista e fonoaudiologia.
Inúmeros efeitos morfológicos secundários repercutem nas arcadas dentárias, em função de alteração no processo respiratório. Portanto, é fundamental o restabelecimento da desobstrução precoce, nas vias aéreas superiores, eliminando a obstrução respiratória e, consequentemente, permitindo que haja a reabilitação da forma e da função, mantendo a estabilidade da harmonia entre dentes e maxilares, conseguida pelo diagnóstico e tratamento ortodôntico/ortopédico, bem conduzido.
Parece complexo, não é? Se você concorda e gostaria de mais explicações sobre problemas ortodônticos, sinta-se à vontade para entrar em contato conosco, no link abaixo.


