Quando existe o hábito de chupar dedo ou chupeta, dependendo da duração, frequência e intensidade com que é praticado, uma coisa é certa: problemas ortodônticos em crianças podem surgir. Do ponto de vista ortopédico, haverá repercussão na dimensão óssea dos maxilares, alterando seu desenvolvimento normal. Como resultado, isso pode causar deformidades, como a chamada Mordida Aberta.
A criança com mordida aberta não consegue o corte dos alimentos com os dentes anteriores. Isso ocorre porque a sucção do dedo interposto nos maxilares impede dos dentes se tocarem durante todo o período de sucção, que pode durar muitos anos. Além disso, a mordida aberta altera a função mastigatória e o estímulo normal que a mastigação teria sobre as arcadas.
Se estes hábitos de sucção ainda estiverem acompanhados por dificuldades respiratórias, como rinites, adenoide e amígdalas hipertrofiadas, os problemas ortodônticos podem se agravar ainda mais. Nesses casos, as deformidades ósseas e dentárias estarão relacionadas ao hábito de respirar pela boca, quer a criança esteja dormindo ou acordada.
Por outro lado, isso acrescenta um padrão deformante de tonicidade à função da musculatura peri-oral e à língua. Consequentemente, essas alterações têm impacto direto no formato das arcadas dentárias.
Os Principais Problemas Ortodônticos são:
Mordida Cruzada Posterior
A articulação dentária deve favorecer a função equilibrada para o correto estímulo de crescimento dos maxilares. Para ilustrar, imagine uma caixa de sapatos: todos os dentes superiores devem articular por fora dos inferiores.
Na mordida cruzada, essa relação se inverte, predispondo à atrofia do maxilar e à assimetria facial. Em alguns casos, a condição pode ser uni ou bilateral, mas também pode comprometer os dentes anteriores.
Além disso, com a mordida cruzada, os dentes permanentes não encontram espaço suficiente para se alinhar na arcada. Um lado da boca acaba sendo mais eficiente na mastigação, o que leva a uma mastigação viciosa unilateral. Isso, por sua vez, altera o padrão muscular peri-oral e causa desvio da mandíbula, resultando em futura assimetria facial.
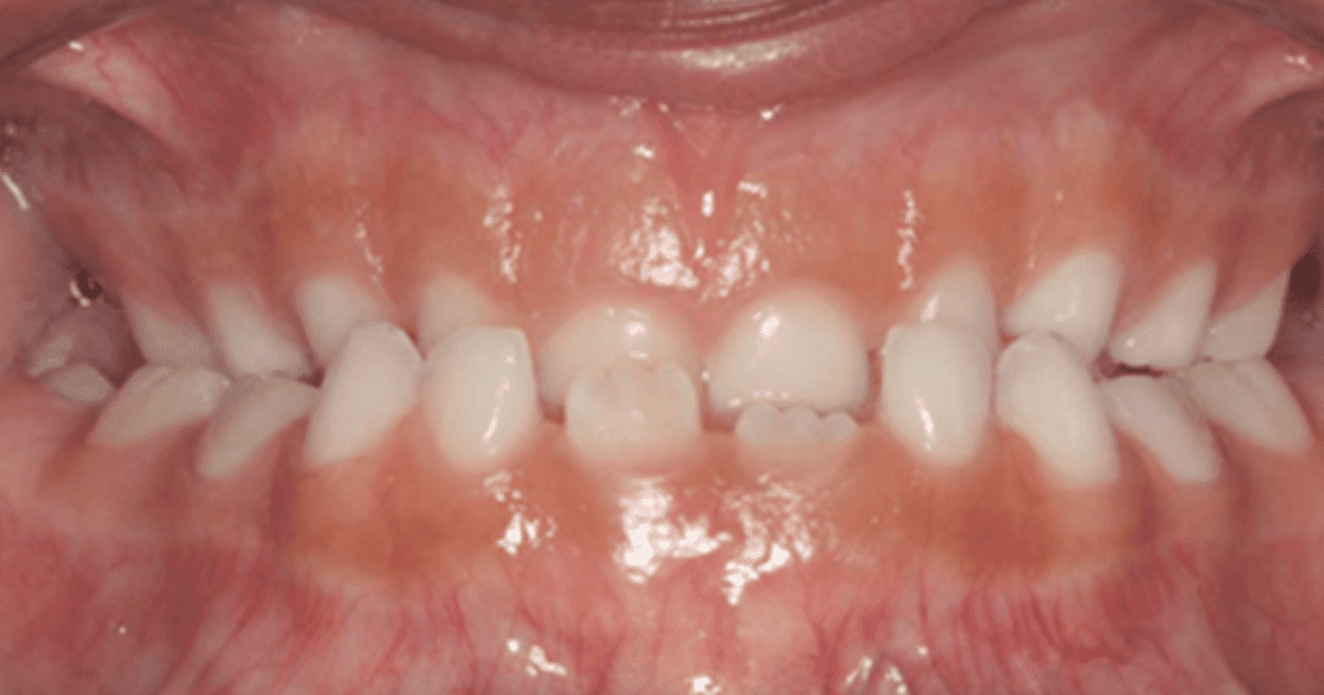
Mordida Cruzada Anterior
Neste caso, os dentes superiores anteriores ficam posicionados atrás dos inferiores. Se não tratado a tempo, quanto mais tempo essa condição persiste, maiores são as alterações na função mastigatória e no crescimento ósseo.
Além disso, a fala, o posicionamento da língua e o perfil facial também são prejudicados. O queixo se destaca, comprometendo a harmonia entre os maxilares superiores e inferiores. Por isso, quando não tratados na infância, esses casos podem exigir intervenções cirúrgicas na vida adulta.
O sucesso do tratamento ortodôntico infantil depende de uma abordagem multifatorial. Por esse motivo, é necessária a atuação conjunta de ortodontistas, otorrinolaringologistas, alergistas e fonoaudiólogos.
Inúmeros efeitos morfológicos secundários repercutem nas arcadas dentárias, em função de alteração no processo respiratório. Portanto, é fundamental o restabelecimento funcional nas vias aéreas superiores, eliminando a obstrução respiratória e, consequentemente, permitindo que haja a reabilitação da forma e da função. Isso é especialmente importante ao abordar problemas ortodônticos em crianças, pois mantém a estabilidade da harmonia entre dentes e ossos maxilares, conseguida pelo diagnóstico e tratamento ortodôntico/ortopédico, bem conduzido.
Conclusão sobre os Problemas Ortodônticos
Considera-se que o sucesso da Ortodontia, a especialidade da odontologia que tem a oportunidade de, ao tratar crianças, com problemas citados acima, contribuir para a redução das estatísticas de brasileiros adultos com distúrbios respiratórios, como RONCO E APNEIA DO SONO. Esteja certo que isto nos motiva muito!
Parece complexo, não é? Se você concorda e gostaria de mais explicações, sinta-se à vontade para entrar em contato conosco.

